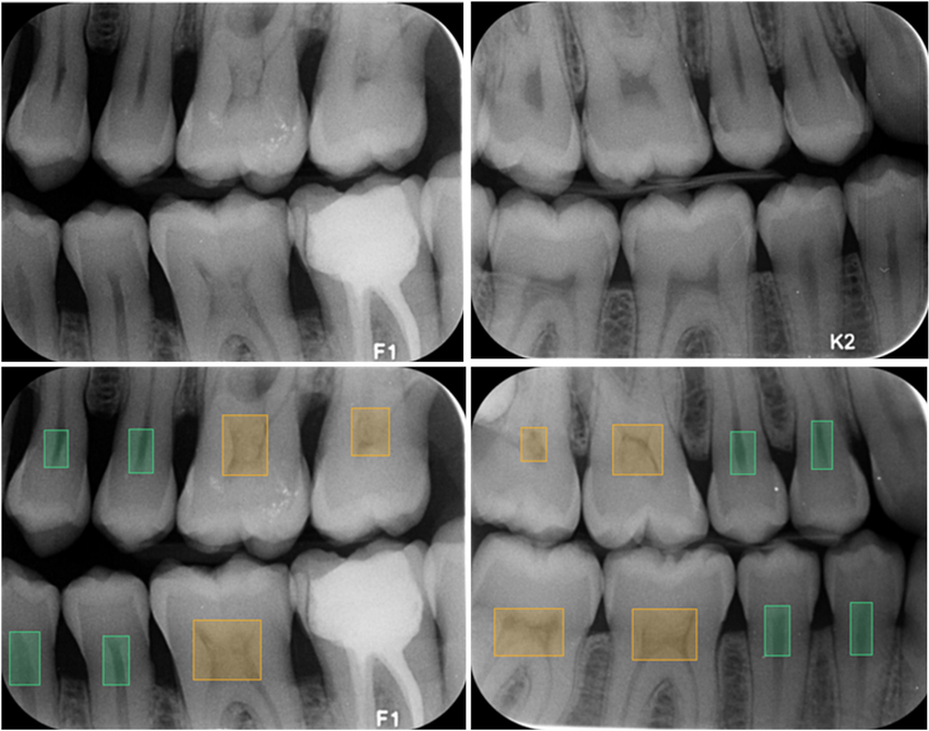
Bite wing snimka s ugrizom u traku je tehnika snimanja kruna
Pretkutnjaka i kutnjaka.
Ova relativno jednostavna tehnika snimanja zuba pomaže u dijagnostici karijesa na kontaktnim točkama susjednih zuba.
To su dijelovi zuba na kojima se uobičajenim postupcima ne mogu
Detektirati karijesi koji su još u začetku.
Ova tehnika bi trebala biti standardni postupak pri kontroli zuba.
