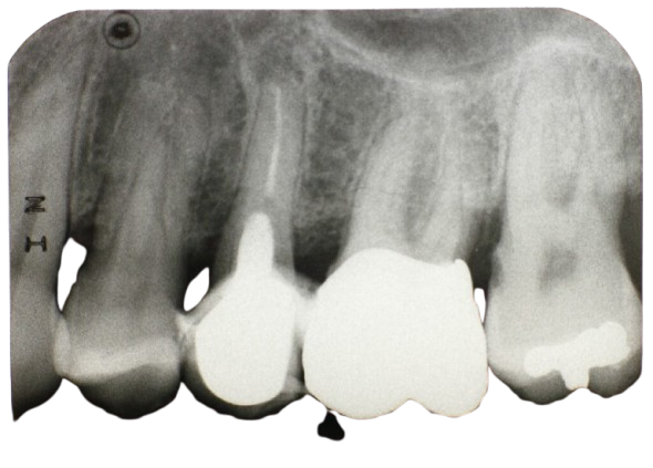
Dentalne pojedinačne RTG snimke (intraoralne rendgenske snimke) služe za precizan prikaz jednog ili više zuba te okolnih struktura – kosti, korijena i parodontalnog prostora. To su osnovne dijagnostičke snimke koje stomatolozi koriste za otkrivanje karijesa, upala, oštećenja kosti ili procjenu uspješnosti liječenja zuba.
Postoje tri glavne vrste pojedinačnih RTG snimaka:
-
Periapikalna snimka – prikazuje cijeli zub od krune do vrha korijena i okolne kosti.
-
Bite-wing snimka – koristi se za prikaz međuzubnih prostora i otkrivanje karijesa između zuba.
-
Okluzalna snimka – prikazuje veće područje gornje ili donje čeljusti, korisna za otkrivanje anomalija položaja zuba.
Snimanje je brzo, bezbolno i minimalno zračno opterećujuće, osobito uz moderne digitalne RTG uređaje koji omogućuju trenutačan prikaz i preciznu analizu.
